Las biopsias de mama no son exactas
Este hallazgo lo divulgó un trabajo realizado en los Estados Unidos. Y es importante porque las malas interpretaciones dan lugar a diagnósticos equivocados.
Este hallazgo lo divulgó un trabajo realizado en los Estados Unidos. Y es importante porque las malas interpretaciones dan lugar a diagnósticos equivocados.
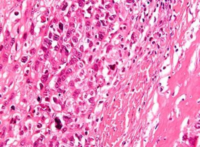
Las biopsias de mama no son ciento por ciento precisas, concluye un estudio recientemente realizado y publicado por JAMA, la revista de la Asociación Médica de Estados Unidos. Esto significa, en la práctica, que las malas interpretaciones, al momento de hacer un diagnóstico, pueden llevar a muchas mujeres a someterse a una cirugía u otros tratamientos que no son necesarios, o a descartar otros que sin importantes realizar.
Al analizar los resultados de una biopsia, para certificar que una mujer padece una patología mamaria, existen dos alternativas, que efectivamente se trate de un cáncer invasivo (la evidencia suele ser muy evidente y aquí no hay posibilidad de mal interpretar el resultado), o que, por el contrario, el tejido está absolutamente sano y no existe el cáncer (los resultados aquí tampoco se prestan a interpretaciones erróneas). Sin embargo, entre un diagnóstico y otro, media una “zona gris”, en la cual los resultados de las biopsias no resultan del todo claros y surgen las dudas, porque no siempre estos estudios coinciden en el diagnóstico.
La investigación, que llevó siete años de estudio y análisis, constó de dos pasos. Primero, tres patólogos expertos examinaron las muestras de tejido de 240 mujeres y coincidieron con el diagnóstico. Luego, esas muestras fueron enviadas a otros 115 patólogos, menos experimentados, para corroborar si viendo la misma biopsia, coincidían en los diagnósticos. Y descubrieron que al tratarse de un cáncer invasivo, los patólogos menos experimentados, coincidieron con los de mayor experiencia, en el 96 % de los casos; es decir, aquí no hubo posibilidades de diagnosticar erróneamente. En cambio, en el extremo opuesto, cuando se trataba de patologías benignas, unos y otros patólogos concordaron en un 87 % de los casos. El inconveniente, surgió en la denominada “zona gris”. Cuando se presentaba un cáncer no invasor, hubo disidencias en 1 de cada 5 diagnósticos. Y cuando se trataba de diagnosticar atipia, un resultado que indica que las células son anormales, pero no cancerosas, solo hubo acuerdo en la mitad de los casos.
Para realizar el estudio (biopsia), se aplica anestesia local y se efectúa sobre el pecho una punción con una aguja especial. Luego, esa aguja es guiada con la ayuda de un ecógrafo. Se extrae la muestra de parte del tejido sospechoso y se la envía al laboratorio. Allí se analizará el material recogido y se notificará el diagnóstico.
Fuente:
Revista de la Asociación Médica de Estados Unidos
De la redacción de tvcrecer

Comentar